• 健康教育
  • 眼外伤
果农劳作被树枝戳到眼后引发真菌感染
发布处室:健康促进科    发布日期:2023-11-24    作者:    阅读次数:
【文字 】【关闭窗口】保护视力色:
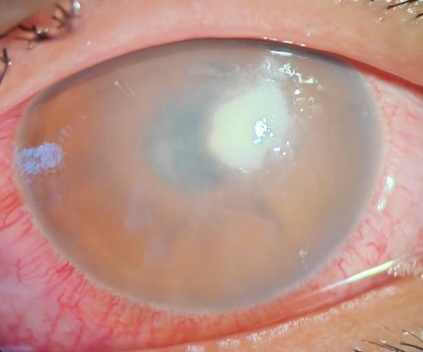
  • 近日,一名年轻小伙来盐源县人民医院眼科门诊就诊,宁波市眼科医院的帮扶医生施恩医生检查发现该男子左眼结膜充血明显,角膜上有一白色溃疡灶,左眼视力检查只有眼前指数的视力,诊断为“左眼角膜溃疡”。

    询问病史该男子说,三天前在苹果园劳作时不慎被树枝戳到左眼后出现眼红眼痛症状,当时也没在意,只是到私人诊所配点眼药水治疗。但是天来,患者左眼情况不见好转,还出现视物模糊,畏光流泪症状,因此赶紧来县人民医院眼科就诊。

    施恩医生考虑到患者左眼角膜溃疡病情较重,立即安排住院治疗,同时行角膜病灶刮片镜检及培养检查以进一步明确角膜溃疡的致病原因。根据病灶标本培养结果提示为真菌感染,给予患者眼部和全身抗真菌治疗。

    经过一周的精心治疗,患者左眼红痛症状明显好转,角膜溃疡病灶逐渐缩小淡化,视力也从入院时的眼前指数提高到出院时的0.5。

    眼科医生提醒,真菌性角膜炎是致病性真菌感染引起的一种致盲性角膜病,在我国居感染性角膜病致盲率的首位。该病主要与植物外伤有关,近年来其患病率有逐年增高的趋势。

    凉山州盐源县是农业大县,当地百姓主要从事苹果、花椒和核桃等经济作物的种植和采收工作,在田间劳作时有时不小心会被树枝或树叶划伤眼睛,这时就要警惕真菌感染,建议及时来医院就诊,避免真菌侵害眼睛。

     

     

     

         左眼治疗前               左眼治疗后


Produced By 大汉网络 大汉版通发布系统